Digital Implant Planning Service. You Print In-House.
Send CBCT & intraoral scans. Get print-ready STL surgical guides in 24–48h. Pay after approval.
Dr. Alex Pakhomov
I review your cases as a dentist, not just a CAD operator.
I founded SurgicalGuide.Pro to bring clinical precision to every surgical guide. As a practicing dentist, I personally plan and review each case — from single implants to full-arch All-on-X — ensuring accuracy before you print.
As a lecturer, I have trained over 100 dentists in digital planning and surgical guide design.
Surgical Guide Design Portfolio
Dental implant guides, apical resection & autotransplant cases from our practice
Clinical Surgical Guide Cases
Before-and-after dental implant surgery with guided protocols
Full-Arch Implant Rehabilitation
All-on-4 surgical guide for complete upper arch restoration






Single Implant with Bone Graft
Guided implant placement with simultaneous bone augmentation






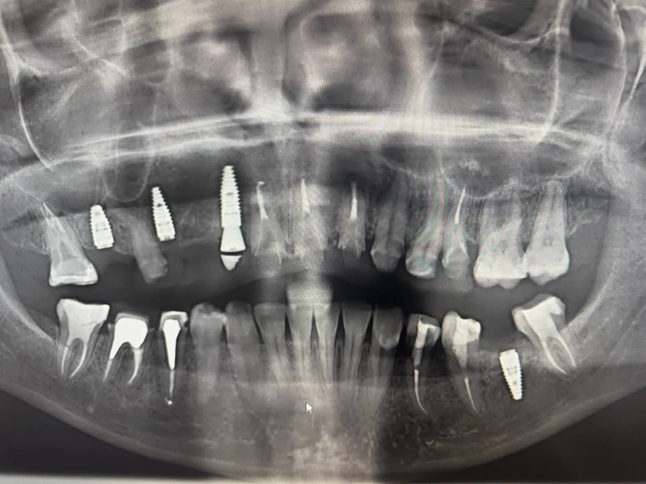
Maxillary Implant Case — 3 Implants
Tooth-supported guide for 3 implants in the upper jaw. Digital planning with precise implant positioning.






Dual Arch Rehabilitation — All-on-4 & All-on-6
Complete upper and lower jaw rehabilitation. All-on-4 concept for maxilla and All-on-6 for mandible with custom surgical guides.






How Digital Implant Planning Works
From CBCT scan to 3D-printed surgical guide in 4 steps
Case Description & Files
You describe your case and send CBCT scan, intraoral scan (STL), and wax-up if available
- CBCT / DICOM
- IO Scan (STL)
- Wax-up (optional)
Project Review
We prepare the plan and send it for your approval with all necessary materials
- PDF Report
- Screenshots
- Secure in-app chat
Review & Approval
Review your drilling protocol and screenshots. Confirm or request revisions.
- Project approval
- Request edits if needed
- Confirm final design
Post-Payment & Delivery
Pay only after approval, then receive your STL files ready for 3D printing.
- Pay after approval
- STL files delivery
- Partner invoicing
Transparent Pricing for Dental Implant Planning & Surgical Guide Design
Digital planning only. STL files included.
Surgical Implant Guides
Tooth-, tissue-, or bone-supported surgical guides for precise dental implant placement. Includes full drilling protocol and STL files ready for 3D printing.
Apical Resection Guide
Targeted osteotomy guide for safe apex localization during apical surgery.
Autotransplant Template
3D replica of the donor tooth used for accurate recipient site preparation in dental autotransplantation.
Segmentation Services
CBCT segmentation into clean STL models of nerves, teeth, and bone for diagnostics and surgical planning.
Surgical Guide Design FAQ
Everything you need to know about implant planning and guide manufacturing
We need two things: a CBCT scan (DICOM format) of the jaw and an intraoral scan (STL/PLY) or a model scan. For accuracy, please ensure the scans are recent and free of major artifacts.
Our Standard delivery is 48 hours (2 business days). This ensures a thorough quality check. If you have an urgent surgery, please contact us for Express options.
We operate on a "Design First" model. You upload your case, we design it, and you pay only after the files are ready for delivery. For long-term partners, we offer consolidated bi-weekly invoicing.
Yes. We design for any implant system (Straumann, Nobel, Osstem, etc.) and customize parameters for your kit. You receive open STL files ready to print on any 3D printer.
We offer unlimited revisions until the design meets your clinical approval. Simply leave a comment in the dashboard, and we will adjust it for free.
Yes, complex rehabilitation is our specialty. Dr. Alex Pakhomov oversees full-arch cases, including stackable guides and bone reduction protocols.
Yes. We offer Apical Resection Guides (from €100) for precise root location and Autotransplant Templates (from €70) — 3D replicas of donor teeth for site preparation.
We convert raw DICOM data into clean STL models. We can segment teeth, bone, nerves, or sinuses separately. Starting from €20.
Our standard delivery includes detailed PDF Drilling Protocol and screenshots. Video walkthroughs are available upon request for complex cases.
Yes. We prioritize data protection with a private client dashboard, encrypted file uploads and HIPAA/GDPR compliant storage. Your patient data remains strictly confidential.
Through our built-in secure chat directly inside your dashboard. All case discussions and file exchanges happen within the platform — no need for external messengers or email threads.
Start Your Surgical Guide Project Today
Upload CBCT & intraoral scans — receive your precision guide in 24–48h